0
Skip to Content
Home
Dr. Ernesto Lee
Dr. Ernesto Lee
Lectures
Publications
Perio-Prosth Institute
S.M.A.R.T.
About
SMART Course
Research & Publications
Clinical Cases
Patients
Courses
Testimonials
Blog
Contact
Log In / Sign Up
Open Menu
Close Menu
Home
Dr. Ernesto Lee
Dr. Ernesto Lee
Lectures
Publications
Perio-Prosth Institute
S.M.A.R.T.
About
SMART Course
Research & Publications
Clinical Cases
Patients
Courses
Testimonials
Blog
Contact
Log In / Sign Up
Open Menu
Close Menu
Home
Folder:
Dr. Ernesto Lee
Back
Dr. Ernesto Lee
Lectures
Publications
Perio-Prosth Institute
Folder:
S.M.A.R.T.
Back
About
SMART Course
Research & Publications
Clinical Cases
Patients
Courses
Testimonials
Blog
Contact
Log In / Sign Up
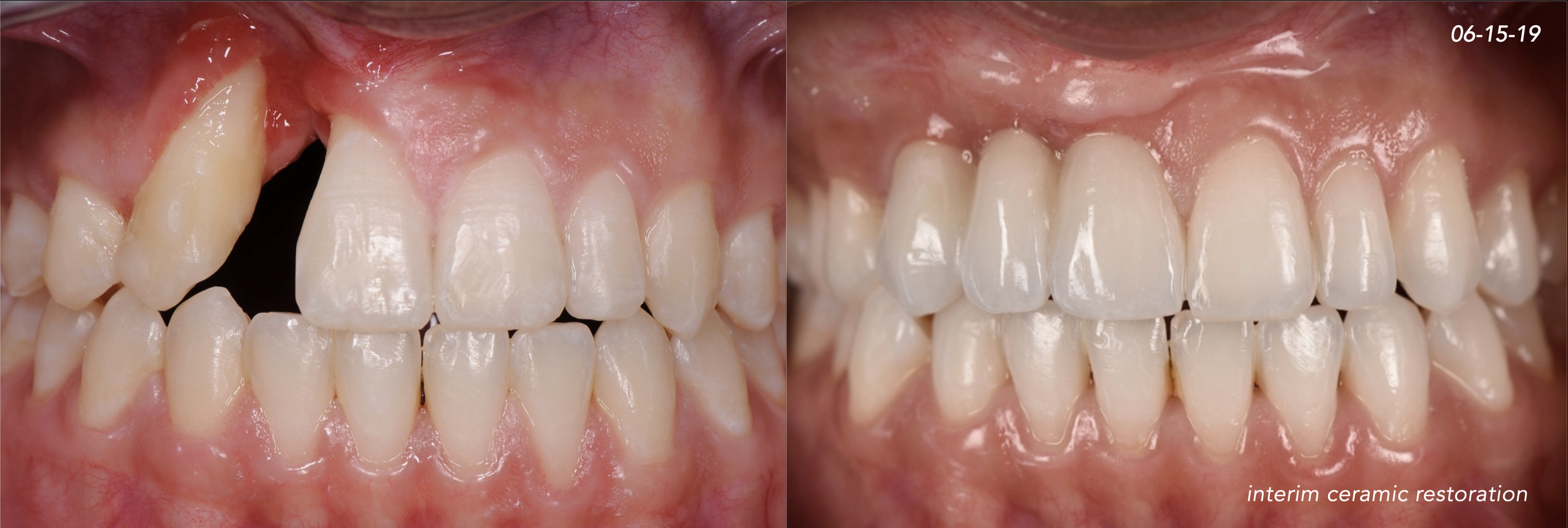
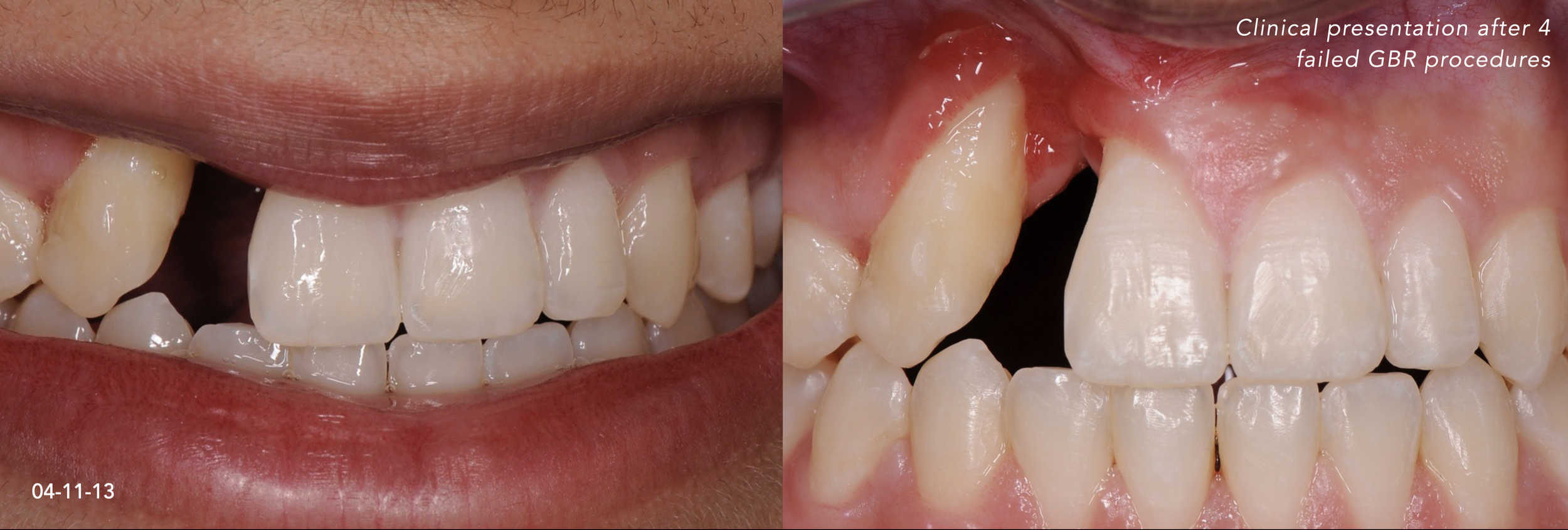
CASE 1. COMPLEX IATROGENIC DEFECT
Next
Next
CASE 2. CONGENITALLY MISSING LATERAL INCISORS