CHARTING THE FUTURE OF BONE GRAFTING

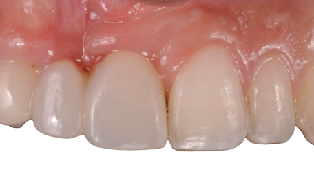
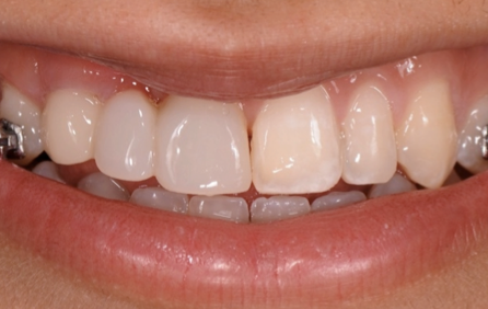
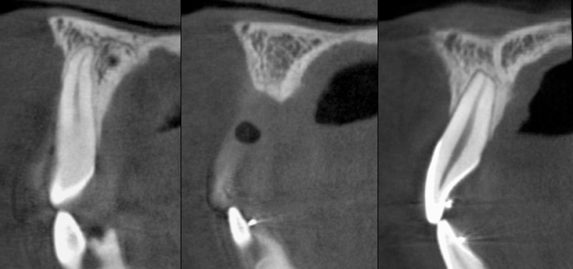
The patient had a congenitally missing upper right lateral incisor. Orthodontic treatment was performed to create the necessary space for a dental implant. Unfortunately, the implant failed, and so did several subsequent attempts to bone graft. These failures resulted in a visible smile deformity, that got worse after each failed procedure. 

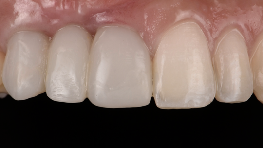
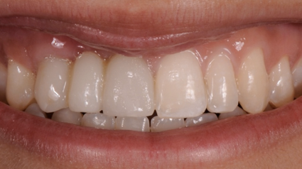
After the 3rd bone graft failed, the patient sought second opinions. She was a college sophomore at the time. Using a combination of interdisciplinary therapies, including S.M.A.R.T. minimally invasive bone grafting, Dr. Ernesto Lee was able to tridimensionally reconstruct this severe defect and place implants to restore the patient’s smile. The S.M.A.R.T. bone graft was also extended to treat adjacent teeth with thin/dehisced bone.

A long-term CAD/CAM fabricated temporary restoration is in place while she finishes medical school at an out-of-state university. The treatment of this case was published in detail in a special issue of the Compendium of Continuing Education in Dentistry, one of the largest circulation journals in our profession.

 

S.M.A.R.T. MINIMALLY INVASIVE BONE GRAFTING